Welcome to Texas Health Southlake
Exceptional People Providing an Exceptional Experience
Texas Health Southlake is a multi-specialty surgical hospital located across from Southlake Town Square. We are part of a faith-based, nonprofit health system that cares for more patients in North Texas than any other provider. Our mission is to improve the health of the people in the communities we serve.

We are looking for patients, family members, caregivers or community members who want to help Texas Health improve the patient experience. Follow the link to complete the PFAC intake survey.
Dining Options
Coffee Bar
Located in visitor waiting area and in inpatient unit.
Vending Machines
Located near the visitor waiting area.
Restaurants
The hospital does not have a cafeteria. However, you may order from local restaurants for delivery to the hospital. Ask your care team for a list of area restaurants that deliver.
Visitor Information
We know that having your loved ones with you is important. Learn more about visiting a patient.






-
At Texas Health Southlake, our spine specialists' mission is to help you get back to what is important – your quality of life! Our goal is to help integrate your back and neck pain treatment seamlessly into your daily living. All non-surgical treatment options are explored before Minimally Invasive Spine Surgery and other surgical treatments are considered.360 Spine Surgery
Lumbar and lower back pain can be treated by your spinal surgeon through fusion surgery, the stabilization of both the back and front of the spine. This procedure is used after other more conservative neck and back pain relief treatments have been exhausted. The procedure starts with the anterior (front) side being operated on first. Once completed, the patient is carefully turned over for the second stage of the procedure. This second stage is also known as Posterior Lumbar Fusion. During this stage of the procedure pedicle screws and rods may be put in place.
Anterior Cervical Discectomy
Anterior cervical discectomy and fusion (ACDF) is a surgical procedure to treat nerve root or spinal cord compression by decompressing the spinal cord and nerve roots of the cervical spine with a discectomy in order to stabilize the corresponding vertebrae. This procedure is used when other non-surgical treatments have failed.
Kyphoplasty
Bone cement is injected through a small hole in the skin (percutaneously) into a fractured vertebra with the goal of relieving back pain caused by vertebral compression fractures.
Lumbar Radiofrequency Neurotomy
Micro Endoscopic Discectomy
Micro Endoscopic Posterior Cervical
Spinal Cord Stimulator Implant
A spinal cord stimulator is a device used to apply pulsed electrical signals to the spinal cord. It is mostly used to control chronic pain, but can also be used to control spinal spasticity or to augment standing and stepping capabilities. The simplest spinal cord stimulator consists of: stimulating electrodes implanted in the epidural space; an electrical pulse generator implanted in the lower abdominal area or gluteal region; conducting wires connecting the electrodes to the generator; and the generator remote control. Spinal cord stimulation (SCS) can produce substantial analgesia (relief from pain), and is currently used mostly in the treatment of failed back surgery syndrome, complex regional pain syndrome and refractory pain due to ischemia.
-
Bariatric Surgery
Bariatric surgery, also known as weight loss surgery, refers to the various surgical procedures performed to treat obesity by modification of the gastrointestinal tract to reduce nutrient intake and/or absorption. The term does not include procedures for surgical removal of body fat such as liposuction or abdominoplasty.For individuals who have been unable to achieve significant weight loss through diet modifications and exercise programs alone, bariatric surgery may help to attain a more healthy body weight. There are a number of surgical options available to treat obesity, each with its advantages and disadvantages.
-
Breast Surgery could be a part of your treatment plan when battling breast cancer. Our goal is to take great care of you. It is our hope that we have provided you with the necessary tools to meet the next challenge: a successful and speedy recovery.Breast-Conserving Surgery
In these types of surgery (Lumpectomy and Quadrantectomy), only a part of the affected breast is removed.
Mastectomy
Mastectomy involves removing all of the breast tissue, sometimes along with other nearby tissues.
Axillary Lymph Node Dissection
Some of the axillary lymph nodes (underarm) may be removed and looked at under the microscope.
Breast Reconstruction
Women who have breast surgery may also decide to have breast reconstruction, either at the same time or later on.
-
Cardiac Care
Conditions We Treat
From diagnosis through treatment and rehabilitation, at Texas Health Southlake we deliver customized, comprehensive care you can count on. We treat a wide range of cardiovascular conditions that would not require Critical Cardiac Care Unit (CCU) care.
- Heart Conditions
- Low Grade Arrhythmia
- Atrial Fibrillation
- Chest Pain
- Cholesterol
- Mild to Moderate Congestive Heart Failure
- Mild to Moderate Coronary Artery Disease/Heart Disease
- Deep Venous Thrombosis and Venous Imaging
- High Blood Pressure (Hypertension)
- Triglycerides
Our Services
Texas Health Southlake offers heart care in a community-based setting. Our continuum of care includes a limited range of non-invasive testing for heart and vascular disease. We take a proactive, preventative approach to heart care, addressing problems such as high cholesterol and blood pressure as soon as they are detected.
Additionally, Texas Health Southlake performs pharmacologic and electrical cardioversions to patients with heart arrhythmias. A pharmacologic cardioversion (chemical) is done through medicine and an electrical cardioversion sends an electrical shock to the heart to restore regular heartbeat. Doctors use cardioversions as a way to treat fast or irregular heart rhythms called atrial fibrillation. They are also used to atrial flutter, atrial tachycardia and ventricular tachycardia.
- Consultation
- Risk Assessment
- Diagnostics
- Cardiac computed tomography test (Cardiac CT)
- Echocardiography
- Electrocardiogram (ECG, EKG)
- Event Monitors
- Remote EKGs
- Heart Care
- Angiographic Procedures
- Beta Blockers
- Carotid Ultrasound Exam
- Heart Attack: Treatment
- Risk Reduction Strategies for Heart Disease
-
Colo-Rectal
We Treat And Diagnose
Texas Health Harris Methodist Southlake routinely diagnose and treat colo-rectal disorders that affect the colon and rectum, including:
- Colon cancer
- Irritable Bowel Syndrome (IBS)
- Diverticulitis
- Hemorrhoid
- Bowel incontinence
- Anal fissure
- Anal absces
- Anal cancer
- Rectal prolapse
- Pilonidal Disease
- Ulcerative colitis
- Crohn’s Disease
- Inflammatory Bowel Disease (IBD)
We Have The Latest In Technology
Various specialists such as gastroenterologists, surgeons, radiologists, oncologists and nutritionists collaborate to provide a unified approach to patient treatments.
Colorectal Surgeons are trained to diagnose and treat diseases of the small intestine, colon, rectum, anal canal and perianal area by medical and surgical means. Training required for this specialty is five years of General Surgery followed by one year in Colon and Rectal Surgery.
Texas Health also utilizes the latest in technology to provide services such as colonoscopies & colorectal cancer screenings. Colonoscopy is the visual examination of the large intestine, or colon. While colonoscopy is frequently used as a screening tool for colon cancer, it is also used to diagnose and evaluate many disorders involving the colon and rectum.
Colonoscopy is done using a lighted, flexible fiber optic or video endoscope. This specialized instrument can be directed and moved around the many bends in the colon. The endoscope also has an open inner channel to allow other instruments to be passed through in order to perform biopsies, remove polyps or inject solutions.
Colonoscopy is performed on an outpatient basis with the patient mildly sedated. The procedure takes 15 to 30 minutes, followed by a short recovery period until the patient is fully awake.
-
Digestive Health
- Colorectal Cancer
- Disorders of the Esophagus
- Disorders of the Liver
- Dysphasia
- Gallstones
- Inflammatory Bowel Disease
- Interventional Gastroenterology
- Pancreatitis
- Pancreatic Cancer
- Ulcers
Outpatient Surgical Care
- Transoral Incisionless Fundoplication (TIF): A procedure to restore the one-way operation of the LES to help alleviate valve-related GERD symptoms.
- LINX: A laparoscopic surgical technique in which a magnetic device is implanted at the LES to restores its function.
- Fundoplication: A laparoscopic procedure in which the LES is reinforced by wrapping a portion of the stomach around it, preventing further reflux with minimal side effects and eliminating the need for ongoing medication.
-
Ear, Nose & Throat
Otolaryngologists, or Ear, Nose and Throat (ENT) specialists, diagnosis and provide medical and/or surgical therapy or prevention of diseases, allergies, neoplasm’s, deformities, disorders and injuries of the ears, nose, sinuses, throat, respiratory and upper alimentary systems, face, jaws and other head and neck systems. ENT’s train for five years before becoming certified.Texas Health Southlake provides services necessary for the diagnosis and treatment of ENT conditions, including allergies, ear infections, sinusitis, tonsillitis, vertigo and other conditions. ENT physicians on the medical staff provide patients with effective treatments for all types of ear, nose and throat conditions, such as:
Ear
Ear pain, hearing loss, ear infections, balance disorders, ear noise (tinnitus)
Nose
Conditions involving the nasal cavity and sinuses, including allergies, the sense of smell the ability to breathe through the nose as well as addressing the appearance of the nose through plastic surgery
Throat
Diseases of the larynx (voice box) and the upper aero-digestive track or esophagus, including voice and swallowing disorders
Head and Neck
Infectious diseases in the head and neck area, including benign and malignant tumors, facial trauma, deformities of the face and cosmetic, plastic and reconstructive surgery
-
Emergency Room
Contact Texas Health Southlake's Emergency Room: 817-748-8804
Texas Health Harris Methodist Hospital Southlake offers Emergency Services on a 24-hour basis. The Emergency Room is staffed by independent full-time physicians and nurses. Emergency Medicine physicians provide immediate evaluation, care and stabilization to patients with illnesses and injuries. Our Emergency physicians, nurses and technicians participate in ongoing continuing education programs to keep abreast of current trends and developments in emergency care. -
General Surgery
For many disorders, traumas and other conditions, surgery may be the best treatment option. Texas Health Southlake is equipped to handle a wide range of inpatient and outpatient surgeries.General surgeons are doctors trained to diagnose, treat and manage patients with a broad spectrum of surgical conditions affecting almost any area of the body. The surgeon establishes the diagnosis and provides the preoperative, operative, and postoperative care to patients. These physicians are trained for at least five years in the diagnosis and surgical care of patients with diseases and disorders of the abdomen, digestive tract, endocrine system, skin and soft tissue including the breast, and blood vessels and heart. They receive additional training for endoscopic procedures.
Most surgeons on the medical staff at Texas Health Southlake are skilled in the latest surgical techniques, specializing in minimally invasive surgical techniques such as laparoscopy. In this procedure, a miniature video camera and illumination source are passed through a small “keyhole” incision in the body. Tiny surgical instruments of various kinds are guided through these small incisions as well. The surgeon operates while watching magnified images displayed on an operating room monitor.
Laparoscopic procedures are performed for many common operations such as gallbladder removal and bariatric (weight loss) surgery, eliminating the need for large incisions. Advantages of minimally invasive procedures include less pain, shorter hospital stays, reduced blood loss and a faster return to normal activities (https://pubmed.ncbi.nlm.nih.gov/24037974/).
-
Gynecology and Well-Women Preventative Care
Gynecologists (GYNs) are physicians who specialize in the medical and surgical care of the female reproductive system. They focus on pregnancy-related health, the female reproductive system, and women's general medical care. While they are concerned with general health problems, they also specialize in more specific female problems, such as breast and cervical cancer, urinary tract and pelvic disorders, and hormonal disorders. Training consists of four years plus two years in clinical practice before certification is completed.At Texas Health Harris Methodist Hospital Southlake we partner with Gynecologists to treat specific female health problems. Our general gynecological surgeries include minimally invasive techniques such as laparoscopy, hysteroscopy and endometrial ablation.
From routine care to highly specialized procedures, the gynecological team selects the medical approach that best serves each woman's needs. Medical, non-invasive and minimally invasive laparoscopic procedures are always considered before traditional surgical techniques are considered.
-
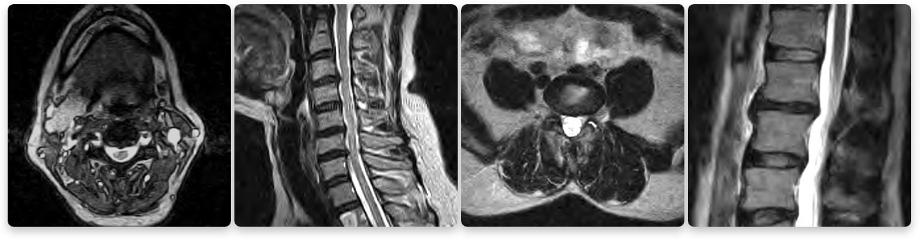
Imaging
Do not compromise your clinical diagnosis when choosing an MRI!
Lower Strength MRI

Texas Health Southlake's Imaging Department's 1.5T High Definition MRI Images

Seeing is believing. Do not compromise quality for a lower price. The images above compare a low strength machine to our 1.5T high-field machine. Two of the biggest factors that contribute to MRI image quality are strength of the magnet and skill of the technologist.
- 1.5T is the gold standard for a MRI in a clinical setting. DO NOT settle for less.
- We provide you with 95 years of combined Radiologic Technologist experience.
MRI Tesla Field Strength. What is it and what does it mean for image quality and ultimately your clinical diagnosis?
Beware of MRIs with lower magnet or tesla strength (Tesla is a measurement of magnetic field strength). The gold standard of MRI today is a 1.5T (T stands for tesla) strength MRI because it produces extremely clear images for a very accurate diagnosis. A lower-strength MRI produces images where the quality is much lower. You want to take care that you are not compromising your diagnosis when choosing an MRI.
1.5 tesla indicates the field-strength of the magnet used to obtain the images – the higher the field-strength, the more clear or detailed the images. A radiologist is looking to obtain the highest level of clarity for the most accurate diagnosis. Think of a spine injury. Let’s use, for example, a bulging disk. An MRI will show the anatomy of the vertebrae as well as the disks, spinal cord and the spaces between the vertebrae through which nerves pass. With such a complex image, your doctor will want the most clear, distinct picture so they can accurately assess the injury and make the proper diagnosis for treatment. The strength of the magnet is extremely important to achieve this clarity.
Lower strength means a less detailed image. The physician will have a harder time diagnosing the problem if he or she is looking at a low-quality image. These scans often take longer, making the patient more susceptible to movement resulting in reduced image quality. Lower image quality may lead to a longer wait time for the physician to read the scan or even misdiagnoses. Often prior to therapy, the entire scan may need to be redone. This costs you and your insurance company more money and may delay your diagnosis and treatment.
A true open MRI machine (one that is open on three sides) always has a tesla that is lower than 1.5. Patients sacrifice magnet power for a more open machine therefore they sacrifice image quality.
We offer convenient hours to accommodate your busy life.
Outpatient MRI exams are scheduled: 8AM to 10PM Monday - Friday | 8AM to 4PM on Saturday
MRI studies are interpreted by board certified Radiologists. All Radiologic Technologists are Registered through the American Registry of Radiologic Technologists.
-
Internal & Family Medicine
Internal Medicine physicians are trained in primary care including disease prevention, wellness, substance abuse, mental health and treatment of common problems of the eyes, ears, skin, nervous system and reproductive organs. Internists must train for three years before becoming certified.Family physicians must complete 3 years of residency after medical school. Family medicine residents train in pediatrics and several other areas such as internal medicine, orthopedics, obstetrics and gynecology, preventive medicine, and behavioral science.
-
Neurology
Neurologist specialize in the diagnosis and treatment of all types of disease or impaired functions of the brain, spinal cord, peripheral nerves, muscles and autonomic nervous system, including the blood vessels that relate to these structures. Neurologist has five years of training. -
Neurosurgery
Neurosurgery is a branch of medicine that deals with the surgical treatment of problems affecting the brain, spine, peripheral nerves and the arteries of the neck. Neurosurgeons are required to have seven years of training, including Surgery. Neurosurgeons at Texas Health Harris Methodist Southlake provide operative and non-operative management of disorders that affect the central and peripheral nervous systems. We provide comprehensive surgical services for adults with injury to, or diseases of the spine peripheral nerves. Cutting-edge neurosurgery procedures including minimally – invasive surgery with micro-surgical tools. -
Nutritional Counseling
Prevention and caring for disease often starts with the food we eat. Outpatient nutrition counseling for all ages is now available at Texas Health Southlake to assist in caring for medical conditions and associated symptoms or to help you meet your wellness goals.At Texas Health Southlake, our Registered Dietitians specialize in developing programs for a variety of health needs including:
- Heart disease (blood pressure, cholesterol, and more)
- Gastrointestinal issues
- Diabetes, glucose intolerance, gestational diabetes
- Obesity and weight management
- Pre and post-surgery nutrition
- Bariatric surgery
- Kidney disorders
- General nutrition and wellness
- Food allergies or intolerances
- Oncology nutrition
- Malnutrition
Making an Appointment
Outpatient nutrition counseling requires a physician’s referral, so speak to your physician today about how nutrition counseling can benefit you.
Outpatient nutrition counseling is by appointment only. Many major insurance plans provide coverage and self-pay is also accepted.
Call today to make an appointment or request more information 817-748-8702.
-
Oral and Maxillofacial Surgery
Oral and maxillofacial surgery is surgery to correct a wide spectrum of diseases, injuries and defects in the head, neck, face, jaws and the hard and soft tissues of the oral and maxillofacial region. Oral & Maxillofacial Surgeons care for patients with problem wisdom teeth, facial pain, and misaligned jaws. They treat accident victims suffering facial injuries, place dental implants, care for patients with oral cancer, tumors and cysts of the jaws, and perform facial cosmetic surgery. -
Texas Health Southlake offers expert care for Joint Replacement and Orthopedic problems. The surgeons at Texas Health Southlake are highly-trained in minimally invasive treatments and advanced orthopedic care.Texas Health Harris Methodist Hospital Southlake orthopedic physicians are committed to excellence in patient care while expanding the field of orthopedic surgery with groundbreaking research and new surgical techniques such as Minimally Invasive Joint Replacement.
Our staff has extensive experience in orthopedic surgery, from simple outpatient treatments to the most complex joint replacement operations. These physicians must have a minimum of five years plus two years clinical practice before they become certified. The subspecialties of Orthopedic Sports Medicine and Surgery of the Hand require additional training and certification. Our facility also offers the latest in radiology and diagnostics technology, allowing surgeons to identify patients’ individual problems and provide the most accurate diagnosis.
Joint Replacement
Joint pain is the result of a variety of factors, most commonly osteoarthritis, which wears down cartilage. Our orthopedic surgeons have specialized fields of interest, including hip, knee and shoulder. By performing total or partial muscle-sparing joint replacement surgeries, our goal is to relieve disabling joint pain-and along with therapy and rehabilitation, help restore daily function.
Treatment of the Upper Extremities
Our specialists include physicians with additional training in diseases, injuries, or abnormalities affecting the shoulder, hand, wrist and elbow. Texas Health Harris Methodist Hospital Southlake orthopedists offer individualized treatment programs ranging from conservative rehabilitation and bracing for fractures, dislocations and tendon injuries-to complex procedures such as shoulder instability surgery and replantations/reattachments of amputations. The specialty includes the performance of microvascular surgery, which is necessary for reattachment of amputated fingers or limbs. Hand surgeons are certified in general surgery, orthopedic surgery or plastic surgery and then complete additional training and testing in hand surgery.
Our team of physicians, researchers and clinical service providers evaluate patients and create a comprehensive treatment program for their specific condition. Physicians work with patients to choose the course of action that will yield the best results, using minimally invasive techniques whenever possible.
-
Pain Management
Acute or chronic pain can interfere with every aspect of life, ranging from the ability to sleep to enjoying daily activities. The Pain Management team at Texas Health Harris Methodist Southlake provides a wide range of advanced tests and treatments to diagnose the cause of pain and help patients control or eliminate the source of their pain.Pain Medicine Specialists, use a broad-based approach to treat all pain disorders, ranging from pain as a symptom of disease to pain as the primary disease. The pain physician serves as a consultant to other physicians but is often the principal treating physician (as distinguished from the primary care physician) and may provide care at various levels, such as treating the patient directly, prescribing medication, prescribing rehabilitative services, performing pain relieving procedures, counseling patients and families, and coordinating care with other health care providers.
A number of subspecialties cross over into each others field of Pain Management. An anesthesiologist (boarded in Pain Management) or a PM&R physician would perform the same procedures.
Texas Health Harris Methodist Southlake provides expert evaluation and treatment for all types of pain problems, including:
- Acute pain: Our pain management team is available 24 hours a day to treat pain related to surgery, trauma, obstetrical and medical emergencies.
- Chronic pain: Pain specialists use a wide variety of approaches to control pain originating from:
- Musculoskeletal abnormalities (myofacial, cervical, upper extremity and lower back)
- Post-traumatic pain syndromes (reflex sympathetic dystrophy, causalgia and aggravated neuralgia)
- Peripheral neuralgia
Other types of pain evaluated and treated by our specialists include:
- Headache
- Neck pain
- Cranio-facial pain
- Fibromyalgia
- Upper and lower extremity pain
- Joint pain
- Chest wall and rib pain
- Certain types of abdominal and pelvic pain
Physical Medicine & Rehabilitation
Physical medicine and rehabilitation (PM&R), also called physiatry, is the branch of medicine emphasizing the prevention, diagnosis, and treatment of disorders related to the nerves, muscles, and bones. These disorders may produce temporary or permanent impairment. PM&R provides care in the treatment of all conditions related to the brain, muscles, and bones, from traumatic brain injury to lower back pain. Rehabilitation physicians are nerve, muscle, and bone experts who treat injuries or illnesses that affect how you move. These physicians must have four years of training plus one year of clinical practice before becoming certified.
The Pain Management services at Texas Health Harris Methodist Southlake offer advanced therapies to treat pain. Our team combines expert and compassionate care with state-of-the-art medical resources, helping patients improve their quality of life.
-
Pathology
Pathologists train for three to four years before becoming certified. They use information gathered from the microscopic examination of tissue specimens, cells and body fluids, and from clinical laboratory tests on body fluids and secretions for the diagnosis, exclusion and monitoring of disease. -
Managed by Greater Therapy Centers
Specializing in Outpatient Orthopedic Physical Therapy and Occupational/Hand Therapy
Southlake Physical Therapy Center
190 S. Peytonville Ave.
Southlake, TX 76092
Phone Number: 817-835-8025
View Google MapBedford Physical Therapy Center
2419 Highway 121
Bedford, TX 76021
Phone Number: 817-835-8025
Fax Number: 844-813-7801
View Google MapFort Worth Physical Therapy Center
12650 North Beach Street, Suite 150
Fort Worth, TX 76244
Phone Number: 817-402-0218
View Google MapPhysical Therapy Center Manager
Jarod Hall
817-835-8025
Greater Therapy CentersOur therapists and athletic trainers use the latest technology to measure your range of motion and strength, to facilitate your rehabilitation after an injury or surgery. We have improved hundreds of lives by offering professional treatment in a wide variety of areas.
Why Choose Us?
- Continuous communication between your therapist, trainer and your physician
- Friendly and caring staff in an open and inviting environment
- Flexible Scheduling
Our Goals:
- Restore patients to their maximal level of function
- Improve patient's quality of life
- Teach patients methods to prevent re-injury
- Provide patients with compassionate and individualized care
Our Services
Joint Replacement Rehabilitation
Our therapists are highly experienced in the process of helping you recover from any of these procedures. We will utilize various strength, range of motion and manual exercises/techniques to properly advance you through your stages of recovery safely and efficiently. It may be necessary to follow restrictions or precautions regarding the use of the joint recently replaced during the initial stages of your recovery. We are happy to answer any questions you may have related to your restrictions and how you may be able to accomplish tasks using alternative methods.
Hand Therapy
Our hand program will help you recover from various conditions and injuries as quickly as possible. We work with a variety of diagnoses including, but not limited to, wrist and finger fractures, tendon repairs, ligament repairs, amputations and hand wounds. We use a variety of modalities to help manage pain and inflammation, improve wound healing, manage edema and to facilitate tendon movement. Examples of available modalities include electrical stimulation, neuromuscular stimulation, laser therapy, and ultrasound. We also educate patients on appropriate body mechanics and joint protection to prevent re-injury and assist patients in their ability to self-manage their injuries or conditions. We also fit patients with custom dynamic and static splints as needed.
Fall Prevention and Balance Program
We offer a comprehensive fall prevention and balance program. This program uses research based, fall risk assessments and equipment specifically designed to improve balance, agility, and muscle tone. Your initial evaluation will help the therapist to determine an individualized program to properly address any strength and balance deficits.
About Biodex Balance System SD
The Biodex Balance System was designed to improve balance, agility, and increase muscle tone. It also has the capability of helping therapists and certified athletic trainers complete fall risk assessments as well as complete the balance assessment/training related to sports concussion management. The Biodex Balance System can help patients determine their weight bearing status, which may be reduced to protect the healing tissues following surgery.
Return to Sport Program
Our staff of licensed therapists and certified athletic trainers will provide you with a program to help you return to the sport of your choice as quickly and safely as possible. They also work hard to develop a program which may help to prevent future injuries related to sporting activities.
Sport Specific Strengthening and Conditioning Program
With each sport comes a different set of needs regarding strength, balance, control, and skill. Our therapists and certified athletic trainers work closely with the patient to develop a program fitting their sport and position's specific needs. It is our goal to properly prepare the patient to compete at their highest ability and to properly address or prevent any injuries.
Sports-Related Injury Rehabilitation
When competing in any sport, there is always the risk of injury. These risks exist for individuals at any age. It is our goal to safely and efficiently help patients who have sustained an athletic injury to regain the strength, motion, agility, speed, and endurance-to be able to return to their desired recreational activities.
Wound Care
There are many reasons you may develop an open wound to your body. We specialize in the treatment of wounds acquired through trauma, infection, and amputation. Our therapists are ready to help in your healing process. The process begins with the evaluation of your wound and is followed by the prescribed treatment. Our therapist will educate you on how to properly manage your particular wound between treatment sessions.
-
Plastic Surgery
Plastic Surgeons are trained in cosmetic and reconstructive procedures of all types. Plastic surgeons perform a variety of reconstructive procedures, including breast reconstruction, burn treatments, facial reconstruction and surgery on birth defects. Surgeons can reshape the appearance of body parts through cosmetic surgery. These surgeons have five to seven years of training before they can become certified.Different plastic surgery procedures address different areas of your face and body. You've probably heard of many of them. Some of them are probably new to you or offer alternatives you may not have considered.
- Breast Augmentation
- Mastopexy (Breast Lift)
- Breast Reduction
- Breast Reconstruction
- Abdominoplasty (Tummy Tuck)
- Liposuction
- Body Lift
- Facelift
- Blepharoplasty (Eyelid Surgery)
- Browlift (Forehead Rejuvenation)
- Rhinoplasty (Nose Reshaping Surgery)
- Otoplasty (Ear Surgery)
-
Podiatry physicians on the medical staff of Texas Health Southlake specialize in the diagnosis and treatment of disorders of the foot and ankle.The podiatry physicians on the medical staff are experts in treating these and other related issues:
- Ankle injuries
- Athlete's foot
- Bunions
- Diabetic foot problems
- Ganglions
- Hammertoes
- Heel/arch pain
- Neuromas
- Sprains/strains
The podiatry physicians on the medical staff try to determine the least invasive and most effective treatment possible to help our patients to return to their active lifestyle.
-
Primary Care Physicians
Whether you're looking for a family doctor or just need to get a check up, we're your partner in health. -
Urology
Urology, also known as genitourinary surgery, is the branch of medicine that focuses on the diagnosis and treatment of diseases affecting the urinary tract and urogenital system in both male and female urinary tract systems and the male reproductive organs. The organs under the domain of urology include the kidneys, adrenal glands, ureters, urinary bladder, urethra, and the male reproductive organs (testes, epididymis, vas deferens, seminal vesicles, prostate and penis).
-
Mitchell Mulvehill, Interim President
-
Sharon Radcliffe, Chief Nursing Officer

Sharon Radcliffe
Sharon Radcliffe, D.N.P., MBA, M.S.N., R.N., B.Sc. (Hons), Dip H.E., CPPS, CENP, WCC, serves as the chief nursing officer at Texas Health Harris Methodist Hospital Southlake. In her role, Sharon develops and oversees the implementation of policies, procedures and practices to support high-quality patient care. She is responsible for the management of nursing practice, nursing education, professional development, nursing research and nursing administration. Prior to joining Texas Health Southlake, Sharon served as the chief nursing officer for the Cayman Islands Health Services Authority where she was responsible for nursing in all clinical and patient-care areas.
Texas Health Harris Methodist Hospital Southlake Community Health Needs Assessment
2023-2025 Implementation Strategy System Report
Texas Health Harris Methodist Hospital Southlake is a joint venture involving Texas Health Resources and physicians dedicated to the community and meets the definition under federal law of a physician-owned hospital. Doctors on the medical staffs practice independently and are not employees or agents of the hospital.


